앞니 레진 비용 치료 후기
- 건강/미용 성형수술
- 2024. 9. 24. 21:14
앞니 레진이 필요한 경우는 2가지가 있습니다. 앞니가 썩거나 깨졌을 경우 또는 앞니가 벌어진 경우가 이에 해당하며 앞니 레진 비용은 10만원에서 30-40만원까지 발생할 수 있습니다. 저 같은 경우 벌어진 앞니를 레진으로 채워 넣었기 때문에 30만원 정도의 비용이 들었습니다. 아래 자세한 앞니 레진 비용 후기를 알려드릴게요.

앞니 레진 비용
앞니가 썩거나 하면 앞니 부위에 따라 비용이 조금씩 다르게 발생할수 있습니다. 앞니 한쪽 부분의 크지 않는 부위라면 10만원 정도이고, 앞니 부분이 겹치는 부분이면 2개의 치아이므로 20-30만원의 비용이 들어갑니다.
그리고 저처럼 앞니가 벌어진 치아를 레진으로 감쪽같이 채울수 있습니다. 대략 1시간 정도의 시간이 소요되었으며 당일 완료가 됩니다. 비용은 30만원 정도 들었는데 보통 30-40만원 정도의 비용이 청구됩니다.
▣ 레진 비용
- 일반적인 치아 10만원
- 앞니 레진 한쪽 10만원
- 양쪽 앞니 겹치는 부분 20-30만원
- 앞니 벌어짐 채우는 비용 30-40만원
▣ 앞니 신경치료 하게 되면
앞니가 그냥 썩은 정도이면 레진으로 커버가 가능합니다. 그러나 뿌리 속까지 썩어서 신경치료를 하게 되면, 레진으로는 해결되지 않으므로 신경치료와 함께 크라운을 씌워야 합니다.
크라운 가격이 생각보다 비싸고 앞니는 골드크라운을 할 수가 없으니 보통 지르코니아를 많이 합니다. 예전에는 저렴한 PFM 크라운 보철을 많이 했는데 이것의 단점은 치아 맨 위에 잇몸 쪽을 보면 철색의 보철이 보입니다. 정말 보기가 싫은데 자르코니아는 정말 내치아 처럼 예쁘게 만들어 줍니다. 가격은 요즘 60만원정도 하는 것 같습니다.
치아 크라운 교체 비용 통증
어느 날 문득 치아에서 통증을 느낄 때가 있습니다. 이런경우 최대한 빠르게 치과에 가셔야지 금전적으로 많은 돈을 지출하지 않는데요. 조금만 늦어도, 당신의 치아는 신경치료를 실시하고 치
naverdog.com

앞니 레진 후기
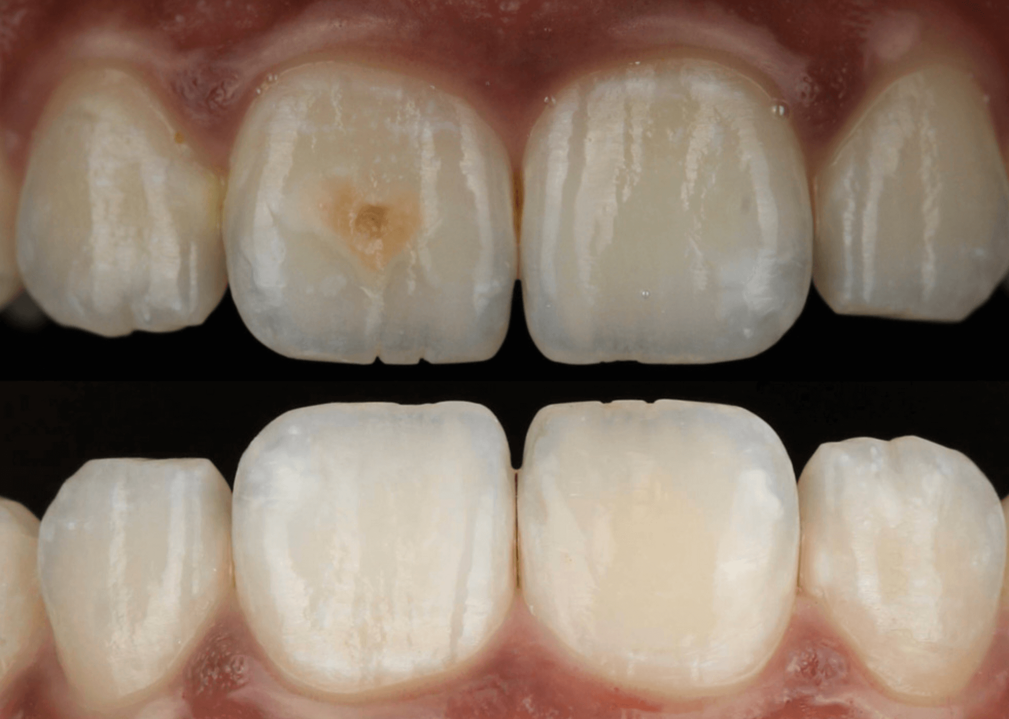
앞니를 레진으로 하게 되면 생각보다 티가 별로 나지 않습니다. 저 같은 경우 벌어진 앞니를 레진으로 채워 넣을 때 치아색과 맞지 않을까 봐 걱정을 했는데 거이 티가 나지 않을 정도로 원래 치아 같습니다.
그리고 하기 전 치과 의사에게 여쭈어 봤는데, 몇 년 뒤에 다시 해야 할까요 물으니 간, 3년 정도 뒤에 경과를 봐야겠다고 했습니다. 이유인즉 레진의 변색이 있을 수 있기 때문에 그런 말씀을 한 것 같은데 현재 4년이 지났지만 내치아 처럼 똑같은 색상을 유지하고 있습니다.
▣ 앞니 레진 단점
앞니 레진을 한 후 한 달도 안돼서 2번 정도 레진 끝부분이 깨졌습니다. 어금니는 상관이 없지만 앞니 부분은 습관적으로 딱딱한 무언가를 뜯을 때 나도 모르고 사용할 수 있는데 그럴 때 깨어질 수도 있습니다.
저 같은 경우도 앞니로 닭 먹다가 깨 먹고, 아이 레고 이빨로 빼주다가 깨져 버렸네요, 그 이후 다시는 그런 짓을 하지 않는데 깨졌을 때 치과에 가니깐 무료로 다시 채워 주셨습니다.

▣ 앞니 레진 후 만족
치아가 썩어서 고민하시는 분들도 있지만, 저처럼 앞니가 벌어져서 고민하시는 분들이 많을 겁니다. 어릴 때 교정하기에 너무 많은 비용이 들어가서 못하거나, 시간이 너무 오래 걸려서 하지 않은 분들에게 앞니 벌어짐 레진을 적극 추천 합니다.
앞니가 벌어진 사람이 아닌 사람들은 그 마음 이해하지 못할 겁니다. 38년 넘게 앞니 때문에 고민이 되었는데, 레진 이후 그런 고민 모두 사라지고 현재까지 잘 사용하고 있습니다.
그러니 저처럼 고민하고 있는 분들 돈 많이 안 드니간요 한번 치과에 가서 상담받아보시길 바래요. 이상으로 앞니 레진 비용 치료 후기 포스팅을 줄입니다.
▣ 치과 관련 정보
임플란트 가격 수술 비용 후기
치아가 좋지 않아서 많은 나이도 아닌데 임플란트를 2개째 하게 되었습니다. 둘다 상악동 거상술을 실시하여 왼쪽 오른쪽 윗 어금니에 임플란트 수술을 하게 되었고, 치조골 이식수술 또한 함께
naverdog.com
앞이빨 벌어짐 레진 가격
앞이빨이 벌어지면 이런저런 말들이 정말 많습니다, 그사이 공간으로 재물이 빠져나간다는 말은 기본, 어디 가서 사진을 찍을 때도 활짝 웃지를 못합니다, 만약 당신이 어리다면 앞이빨 교정을
naverdog.com
Q. 앞니 레진 수명은?
앞니 레진 수명은 일반적으로 짧게는 3년 길게는 7년 정도를 이야기 합니다. 개인적으로 저는 현재 5년이상 잘사용하고 있으며, 구강위생상태, 식습관, 외부 충격, 이갈이등의 문제로 짧아지거나 앞니 레진 수명이 길어질수 있습니다.
'건강 > 미용 성형수술' 카테고리의 다른 글
| 아이리쥬란 효과 부작용 가격 후기 (0) | 2024.12.08 | 
|---|---|
| 독일 보톡스 제오민 내성 가격 (0) | 2024.09.30 | 
| 비립종 제거 비용 연고 크림 가격 (0) | 2024.09.27 | 
| 입꼬리 보톡스 부작용 효과 필러 추가해야 후기 (0) | 2024.07.27 | 
| 하지정맥류 검사 비용 수술 후기 (0) | 2024.07.21 | 
| 백옥주사 효과 효능 주사 주기 (0) | 2024.05.20 | 
| 보톡스 가격 시술후 주의사항(턱, 이마, 눈가 주름 제오민) (0) | 2024.03.23 | 
이 글을 공유하기







 
																	 
																	 
																	