앞니 이빨 깨짐 치아 크라운 깨짐 비용 후기
- 건강
- 2025. 3. 3. 15:58
앞니 이빨이 깨지거나 해 넣은 치아 크라운 깨짐이 발생한 경우 비용은 얼마나 들어갈까 기존에 해 넣은 크라운 깨짐은 A/S가 되는지 비용은 얼마나 하는지 앞니 이빨의 깨짐이 발생했을 때 비용에 대한 후기를 남겨 봅니다.

앞니 이빨 깨짐
앞니 이빨이 크게 깨지는 경우 보다는 딱딱한 무언가를 씹거나 물어뜯다가 살짝 깨짐이 발생한 경우 또는 어느 정도 앞니 이빨이 깨지는 경우를 이야기할 수 있습니다.
이런 경우 비용이 많이 나올까봐 걱정만 하고 치과에 오지 않는 분들도 많이 있는데, 앞니 이빨이 약간 깨짐이 발생한 경우는 간단한 레진으로 표시 나지 않게 채울 수 있습니다.
이때 발생하는 비용은 10만원 부터 30만원까지 차이는 있지만 약간 깨진 경우는 10만원 정도의 빙용으로 앞니 이빨 깨짐 비용을 해결할 수 있습니다.
다만 깨짐의 범위가 큰 경우 레진의 비용이 30만원 이상까지 올라갈 수 있으니 일단 치과를 방문해서 치과 의사와 상담을 하시면 명확한 답을 얻을 수 있을 겁니다. 간단한 앞니 이빨 깨짐은 10만원 정도의 비용을 유추할 수 있습니다.
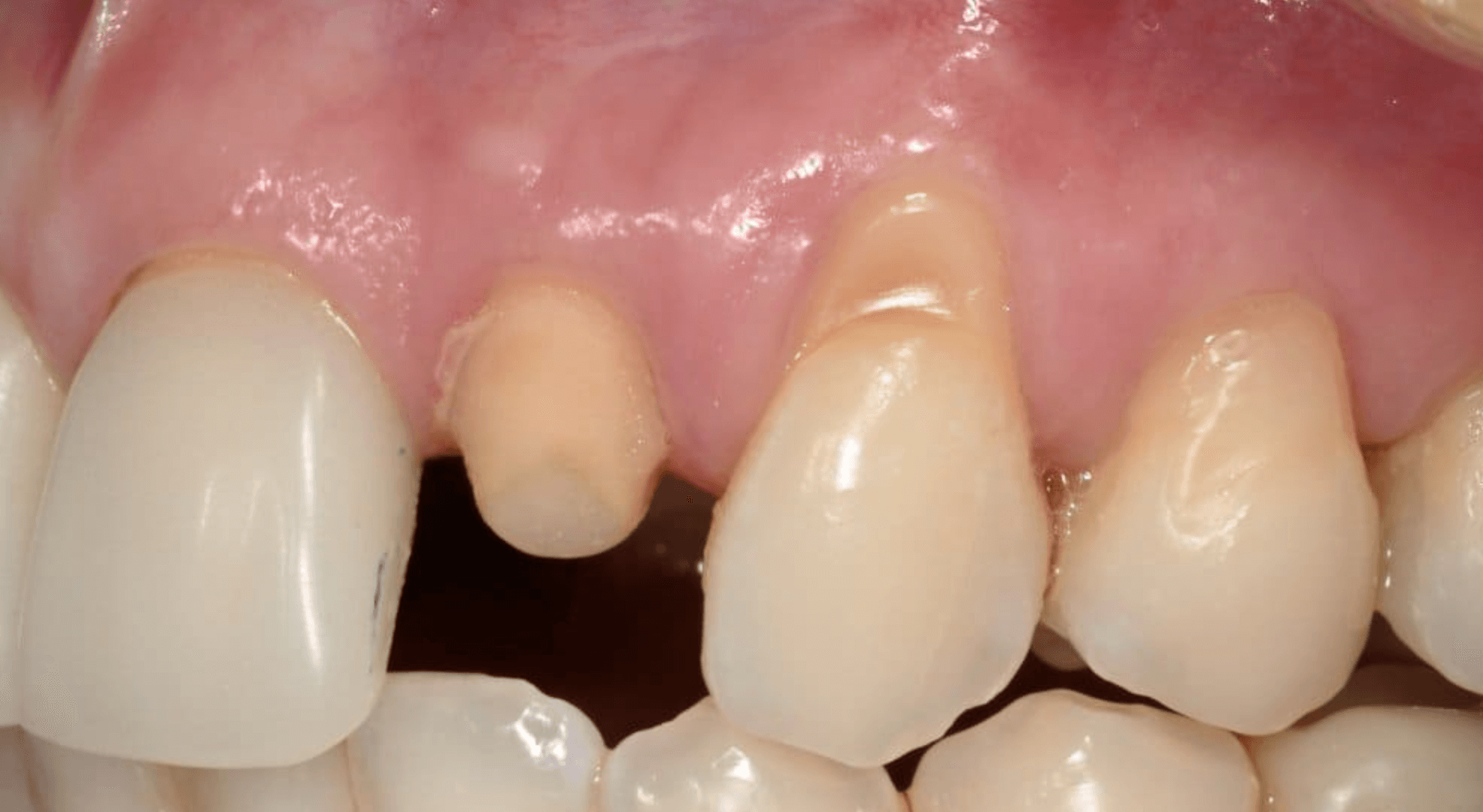
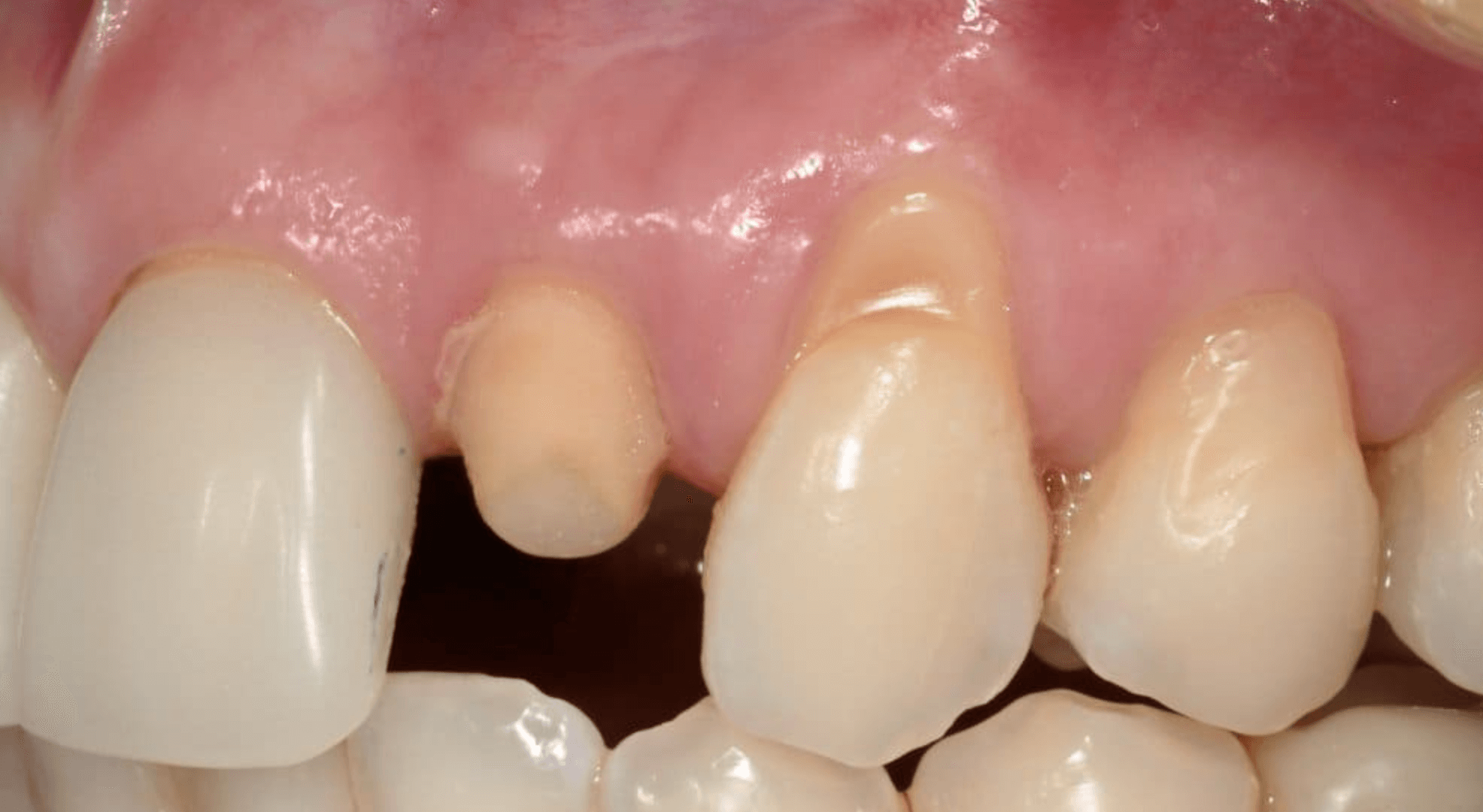
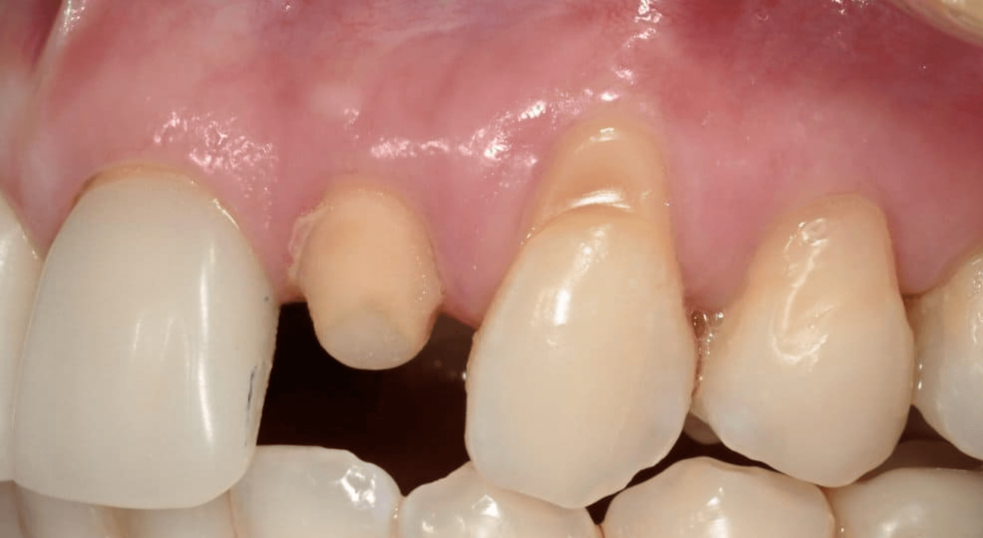
앞니 깨짐 범위가 넓을 경우 치아를 갈아내고 뿌리부분을 살려서 크라운으로 덮어 씌울수 있습니다.

치아 크라운 깨짐
이전에 해놓은 치아 크라운이 깨지는 경우가 생각 보다 많이 있습니다. 저 같은 경우 지르코니아 크라운으로 씌어 놓은 임플란트 깨짐이 발생했고, 지르코니아 브릿지해 넣은 크라운이 금이가 버렸습니다.
이런 경우 크라운을 한지가 얼마나 된지에 따라 내가 내어야 할 비용이 달라지는데, 보통 1 년 이내 이거나 2년 사이라면 치과에 따라 무상으로 a/s를 해줄 수 있습니다. 그러나 2년이 지나면 치과에서 50% 정도 비용을 지원해 주고 본인이 50% 비용을 지불해야 할 수도 있습니다.
3년이 지나도 어느정도 치과에서 지원을 해주었으면 저 같은 경우 2년 미만으로 임플란트와 1년 미만으로 지르코니아 브릿지가 파손이 되었는데 브릿지는 새롭게 다시 맞추어 주었으나, 또 깨짐이 발생하여 소재를 보다 저렴하고 단단한 PRM 메탈로 바꾸어 주었습니다.
1년 지난 임플란트 지르코니아 크라운은 바로 깨짐이 없는 PRM 메탈 크라운으로 교체를 해주네요. 다만 아쉬운건 지르코니아 크라운으로 비싸게 했는데 이렇게 깨짐이 발생해서 보다 저렴한 제품으로 해주었으니 어느 정도 손해라고 이야기할 수 있겠습니다.
다만 이조차도 하지 않고 전혀 지원을 안해주는 치과들도 있으니 이러한 치과는 사전에 a/s가 잘되는지 안되는지 문제가 많다고 나오는 치과에는 절대로 가서 하시면 안 됩니다.
치과는 변수가 많아서 하는 것보다 a/s를 얼마나 어떻게 잘해주냐가 향후 치아 관리의 핵심이라는 것을 치아가 나빠지면서, 나이가 들수록 그 말을 이해를 합니다.
- 1년 미만 깨짐 100%
- 2년 미만 100% 또는 70%
- 3년 미만 50%
- 3년 이상 치과에 따라 조금 할인
아래는 제가 직접 경험한 임플란트 지르코니아 크라운 깨짐으로 발생한 비용과 이게 깨어지면 상당히 날카로워서 매우 위험했던 내용 입니다.
임플란트 크라운 빠짐 깨짐 가격 AS 비용
임플란트로 해넣은 치아 크라운이 빠지거나 깨짐을 격어 보신분들은 매우 황당함을 느낄수 있습니다. 특히 음식을 씹다가 크라운이 깨지거나 빠지는 경우 입안에 큰 상처를 낼수 있으며 삼키는
naverdog.com

치아 깨짐 후기
이처럼 치아가 깨지는 경우가 정말 많이 있으며 앞니 같은 경우 조금 깨지는 경우는 치과에 가서 표시 나지 않게 갈아주거나, 레진으로 때울 수 있습니다.
그 외 기존에 해 넣은 치아 크라운이 깨지는 경우는 시술받은 기간에 따라 100% a/s해주거나 돈을좀 덜 받거나 이정도의 차이가 있습니다.
최근 저는 지르코니아 크라운이 심미성이 뛰어나고 강도 높다고 해서 해넣은 치아들이 깨지거나 금이 가거나 하는 경우가 자꾸 발생을 하네요. 앞으로는 금니가 비싸지만 금니로 해야 할 것 같습니다.
참고로 제가 할 때는 금니와 지르코니아 가격이 거이 차이가 없거나 금니가 5만원 정도 더 비싸게 불렀는데 최근 금값이 많이 올라서 금니가 조금 부담스럽긴 하네요. 다만 금니는 20년이지나서 판매도 가능하니 그것도 장점인 거 같네요.
이전에 금니로 된 3개짜리 골드 브릿지를 판매하니 10만원 조금넘게 받았습니다 .23-5년전 70만원 주고 했던 금니3개짜리 브릿지 인데 23년이 지나서 10만원 조금 넘는 판매 비용도 덤으로 주네요.
앞니 깨짐이나 크라운 깨짐이 발생하면 방치하지 마시고 치과에 가면 간단하게 해결할 수 있습니다. 오늘은 여기까지 앞니 이빨 깨짐 치아 크라운 깨짐 비용 후기에 대한 글을 줄입니다.
앞니 레진 비용 치료 후기
앞니 레진이 필요한 경우는 2가지가 있습니다. 앞니가 썩거나 깨졌을 경우 또는 앞니가 벌어진 경우가 이에 해당하며 앞니 레진 비용은 10만원에서 30-40만원까지 발생할 수 있습니다. 저 같은 경
naverdog.com
지르코니아 크라운 가격 비추 후기
지르코니아 크라운 가격이 비싸지만 장점이 심미성이 뛰어나고 강도가 강하다는 것인데, 벌써 3번째 지르코니아 크라운과 브릿지가 깨져버렸기에 지르코니아 크라운에 대한 신뢰성을 이야기하
naverdog.com
앞니 교정 비용 고민 이라면 레진 추천
앞니가 벌어져 교정을 하고 싶은데 비용이 만만치 않아 고민을 하시는 분들이 있습니다. 어릴 때 앞니가 벌어졌다면 제대로 된 교정을 하면 되지만, 20대에 교정기구를 끼는 것도 불편하고 비용
naverdog.com
'건강' 카테고리의 다른 글
| 라베스타정 10mg 20mg 효과 부작용 후기 (0) | 2025.03.20 |
|---|---|
| 용종제거 비용 실비 보험 청구 (0) | 2025.03.17 |
| 엄지발가락 염증 부음 통증 원인 (0) | 2025.03.11 |
| 알레르기 비염 약 지르텍 알레락정5mg 효과 부작용 (0) | 2025.02.24 |
| 약국 약 배달 서비스 조건 (0) | 2025.01.27 |
| 대상포진 예방접종 가격 나이 (0) | 2025.01.18 |
| 애드빌 효능 가격 부작용 (0) | 2025.01.12 |
이 글을 공유하기






