충치 레진 비용 수명은
- 건강
- 2025. 1. 24. 21:46
그나마 충치가 심하지 않을 때 바로 치료할 수 있는 방법이 레진입니다. 어찌 보면 하나당 거이 10만원 하는 레진이 비싸다는 생각이 들수 있지만, 치아로 많은 비용을 지불한 사람으로서, 레진정도로 가능하다면 그것 또한 다행이지 아닐 수 없습니다. 아래 레진에 대한 정보를 공유합니다.

치아 레진 효과
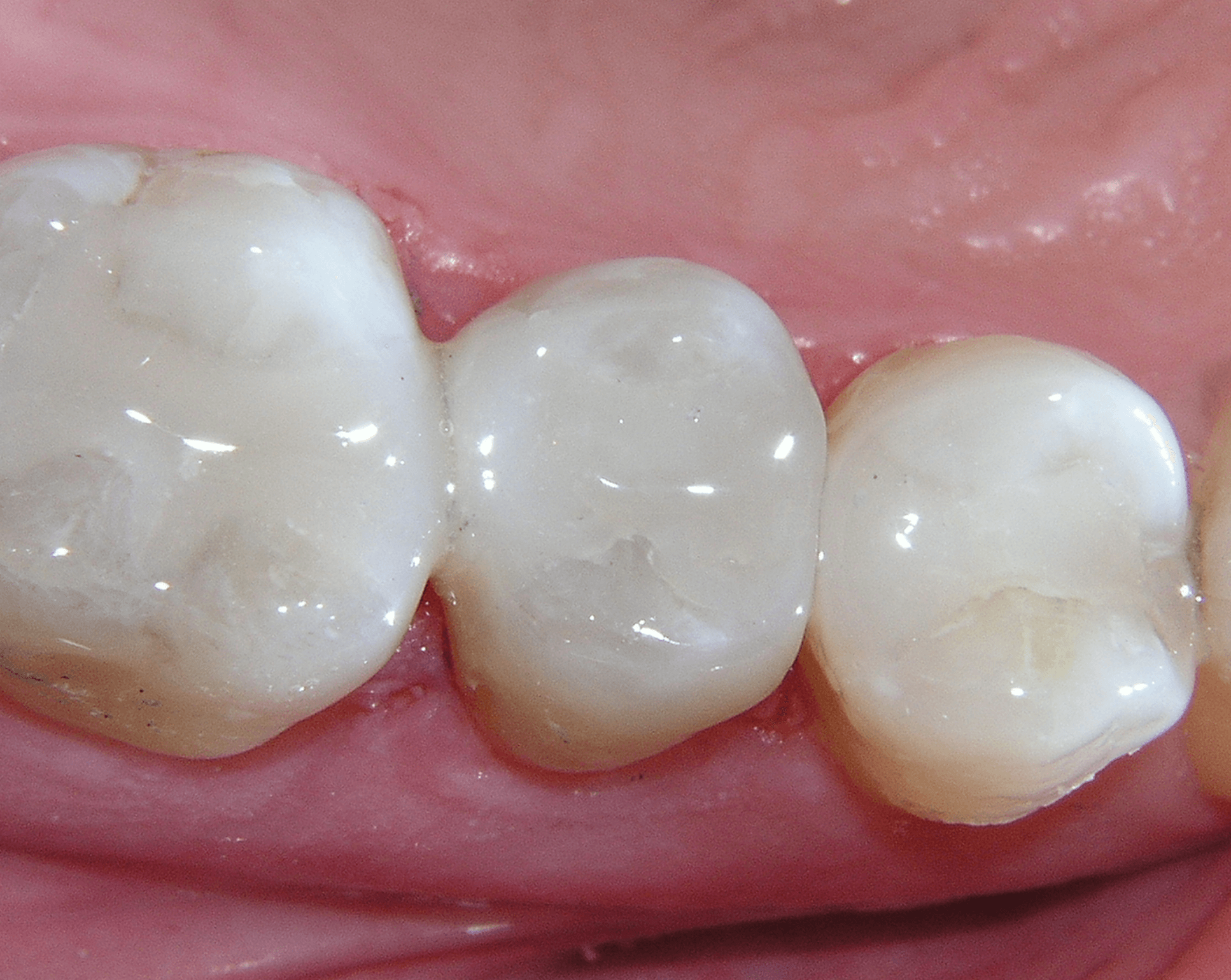
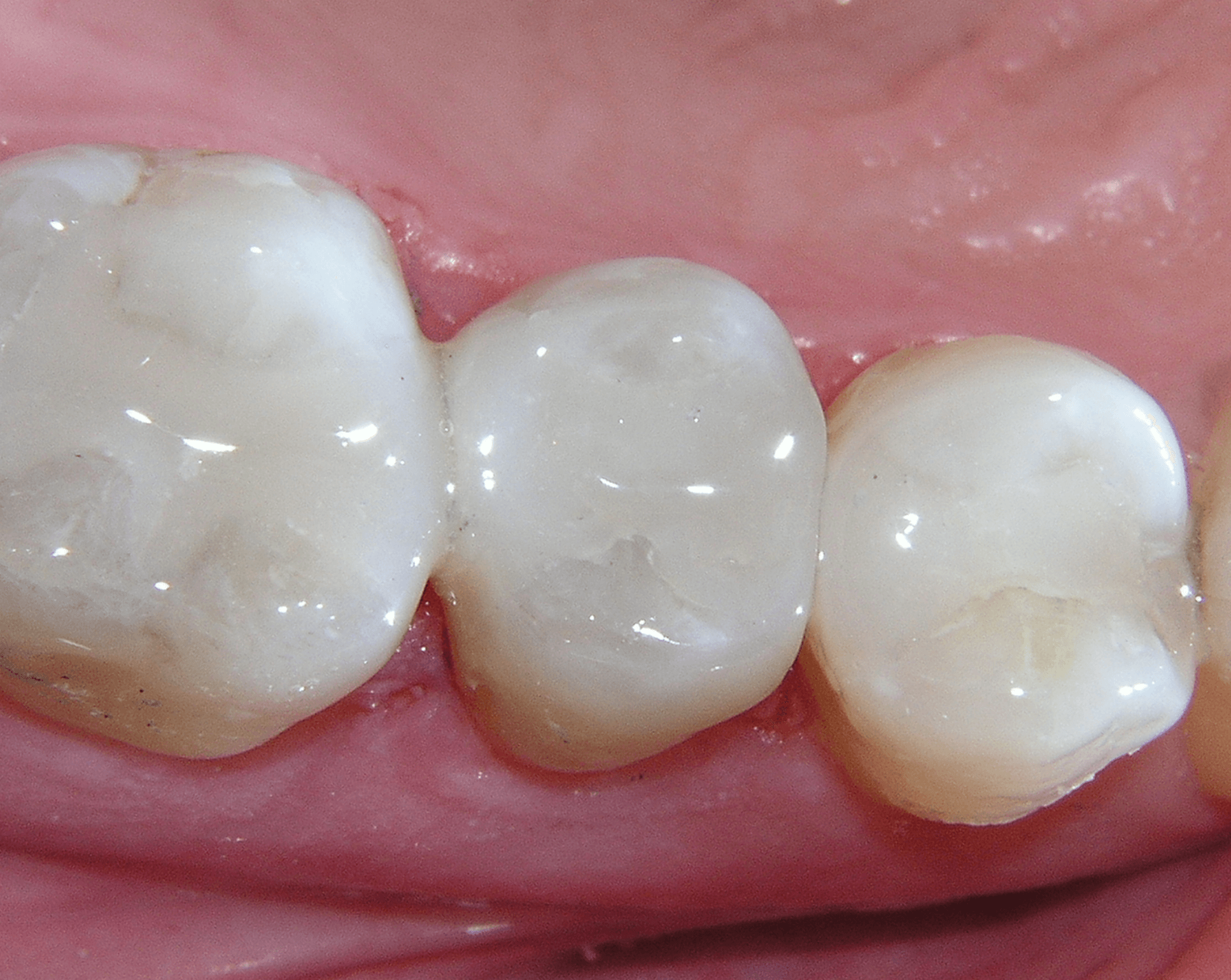
미용적인 치료에 효과가 있는 레진은 변색된치아, 깨지거나 부러진 치아, 충치 및 치아사이의 틈새와 같은 문제를 해결하는 데 사용이 되고 있습니다.
그리고 대부분 충분한 만족을 느끼고 사용하고 있습니다. 저같은 경우도 썩은 치아를 제거하고 레진으로 때운 것들이 있으며 그와 더불어 앞니 벌어진 것을 레진으로 막았는데 아직도 재교체하지 않고 잘 사용하고 있습니다. 앞니 벌어짐 레진은 아래글을 참조하세요.
앞이빨 벌어짐 레진 가격
앞이빨이 벌어지면 이런저런 말들이 정말 많습니다, 그사이 공간으로 재물이 빠져나간다는 말은 기본, 어디 가서 사진을 찍을 때도 활짝 웃지를 못합니다, 만약 당신이 어리다면 앞이빨 교정을
naverdog.com

충치 레진 비용
일반적으로 레진은 몇개를 하느냐에 따라 치과병원에서 싸게 해 주는 가격이 달라집니다. 예전에는 현금으로 하면 어느 정도 비용을 제외시켜주었는데 최근에는 카드값이나 현금이나 똑같이 받는 곳이 대부분입니다.
최근에는 레진가격도 많이 올라서 이전에는 7-8만원이면 충치 레진 1개 정도는 때웠는데 지금은 최소10만원을 주어야 충치레진을 때울 수 있습니다. 물가가 정말 많이 올랐습니다. 제가 겪어본 가격을 아래 정리 합니다.
- 레진 1개 가격 10만원
- 앞니 벌어짐 레진 가격 그대는 30만원 초반 지금은 40만원대
- 어금니 골드 크라운 50만원에서 60만원
- 지르코니아 크라운 골드 크라운과 가격 비슷하거나 5만원 정도 저렴
- 임플란트 보통 120-150만원
▣ 치아 치료 내용
치아 크라운 교체 비용 통증
어느 날 문득 치아에서 통증을 느낄 때가 있습니다. 이런경우 최대한 빠르게 치과에 가셔야지 금전적으로 많은 돈을 지출하지 않는데요. 조금만 늦어도, 당신의 치아는 신경치료를 실시하고 치
naverdog.com
임플란트 가격 수술 비용 후기
치아가 좋지 않아서 많은 나이도 아닌데 임플란트를 2개째 하게 되었습니다. 둘다 상악동 거상술을 실시하여 왼쪽 오른쪽 윗 어금니에 임플란트 수술을 하게 되었고, 치조골 이식수술 또한 함께
naverdog.com

레진 수명은
앞니 벌어짐 레진 할 당시 치과에서는 3년 정도 지나면 레진이 착색이 되어서 보기 나쁠 수 있기 때문에 그쯤 되어서 상태를 보고 진행할 것 같다고 이야기했습니다. 그런데 지금 4년이 넘은 것 같은데 내 치아색깔과 똑같고 현재까지는 괜찮습니다.
그러나 예전에 레진으로 때어놓은 치아 중 하나가 떨어져 버렸네요. 대략 9년 정도 된 것 같은데, 왜 떨어졌는지 궁금해서 여러 자료를 찾아봤습니다. 그랬더니 아래와 같은 이야기가 나오네요.
▣ 레진 및 치아 크라운 수명
- 레진은 일반적으로 7-10년
- 크라운은 관리를 잘하면 25년
- 임플란트 관리하기 나름 평생도 가능
레진은 보통 7년에서 10년을 이야기하는데 그 정도가 맞는 것 같습니다. 이것을 계산하면 저는 예전에 때어놓은 레진들이 하나둘 탈이 나겠네요. 돈 떨어지는 소리가 들립니다.
골드크라운을 해놓은지 25년 정도 지난 것이 있습니다. 아직까지 통증이 느껴지거나 하지 않지만, 치과에서 보여주는 것이 골드 크라운에 작은 펑크가 난 것을 보여주네요. 치아가 쓰리거나 아프면 다시 해야 한다고 합니다.
임플란트 같은 경우 잘 관리하면 평생 유지해도 된다고 하는데, 그렇게 유지할 수 있는 사람들이 얼마나 될지 모르겠습니다. 생각보다 임플란트가 시간이 지나니깐 잇몸적인 문제가 저는 많이 발생하더라고요.
고로 저렴하다고 무조건 싼 치과에서 하는 것보다, 사후관리를 잘해주는 치과에서 임플란트를 하는 것이 옳다고 생각합니다. 이상으로 충치 레진 비용 수명은 포스팅을 줄입니다.
치과 신경치료 비용 실비 보험 통증 후기
치과 신경치료를 하게 되면 신경치료 비용만을 생각하시는 분들이 많은데, 신경치료 후 크라운을 씌워야 하기 때문에 생각보다 신경치료 총비용은 많이 들어갈 수 있습니다. 그래서 치과 신경
naverdog.com
잇몸 피날때 붓고 냄새 원인
잇몸이 붓거나 피가 날 때는 화장실 구린내 같은 심각한 구취 냄새가 납니다. 왜 잇몸이 피나 가는지 그 원인에 대해서 알아보고, 어떻게 관리를 해야 하는지 알아볼게요. 인사돌, 이가탄 먹으면
naverdog.com
'건강' 카테고리의 다른 글
| 앞니 이빨 깨짐 치아 크라운 깨짐 비용 후기 (0) | 2025.03.03 |
|---|---|
| 알레르기 비염 약 지르텍 알레락정5mg 효과 부작용 (0) | 2025.02.24 |
| 약국 약 배달 서비스 조건 (0) | 2025.01.27 |
| 대상포진 예방접종 가격 나이 (0) | 2025.01.18 |
| 애드빌 효능 가격 부작용 (0) | 2025.01.12 |
| 남자 갱년기 증상 나이 영양제 (0) | 2025.01.06 |
| 어깨충돌증후군 증상 수술 치료 후기 (0) | 2024.12.31 |
이 글을 공유하기






