잇몸 고름주머니 염증 치주 농양 치료법 비용
- 건강
- 2023. 11. 5. 17:39
잇몸에 고름주머니가 생기면 최대한 빠르게 치과에 와서 치료를 받는것이 좋습니다. 잇몸 고름주머니는 염증이 생겨 고름이 빠져나가지 못하는 고름이 뼈를 녹여 잇몸이 부풀어 오른경우를 말합니다. 이러한 잇몸 염증 치주 농양 치료법과 비용에 대한 정보를 공유 합니다.

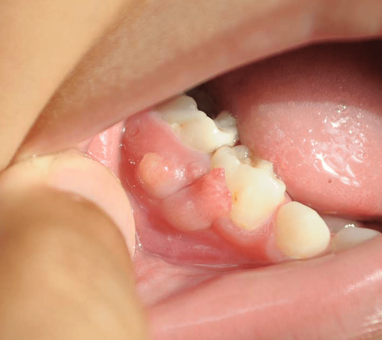
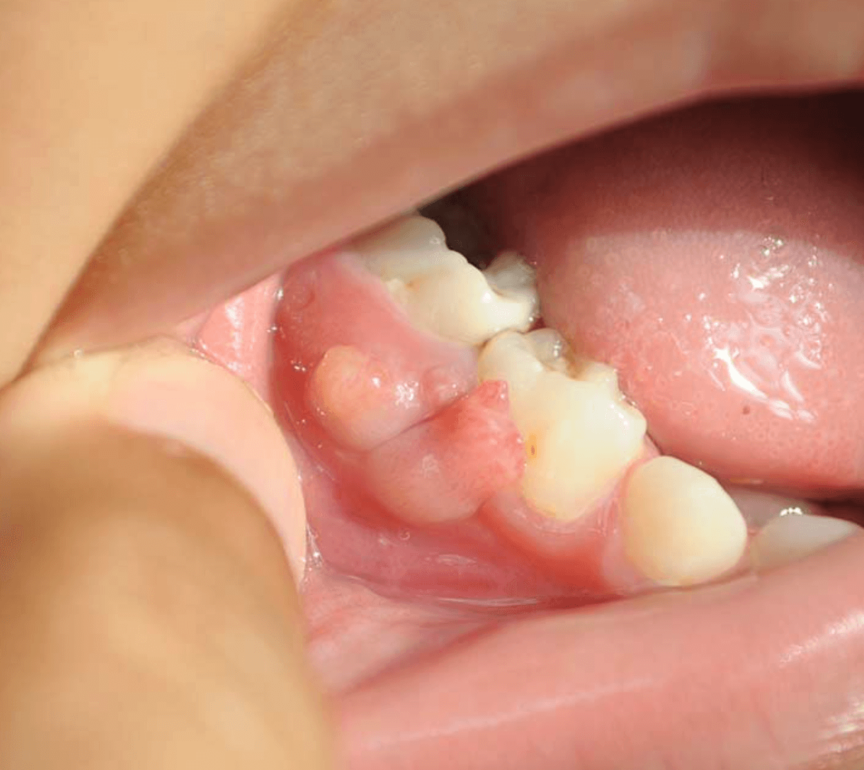
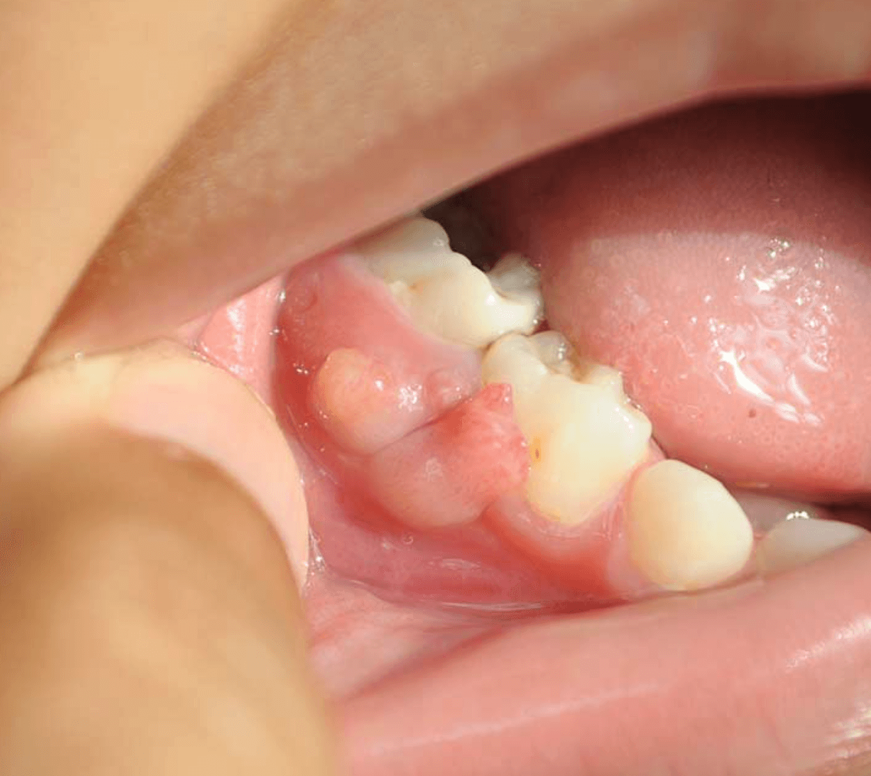
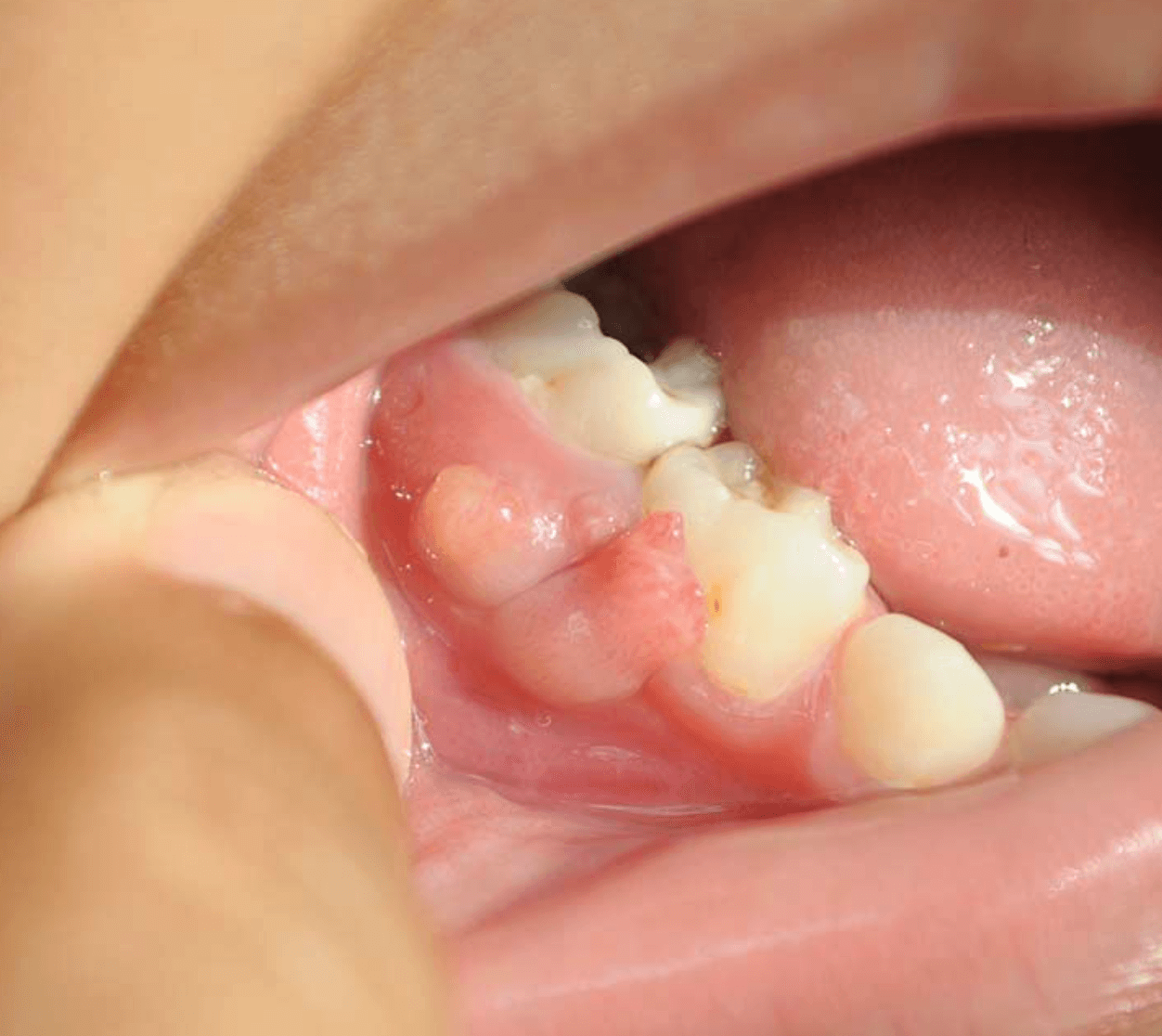
잇몸 고름주머니
일반적으로 잇몸에 고름이 생기는것을 치주 농양이라고 이야기를 합니다. 이러한 잇몸 고름주머니는 심각한 잇몸 질환 치주염으로 인해 발생할수 있으며, 이로인해 박테리아가 자랄수 있는 고름주머니가 생길수 있습니다.
또한 치석이 너무 많이 쌓이거나 음식물이 주머니에 끼면 고름이 발생하게 되고 이러한 고름이 배출되지 않으면 치주 농양이 형성되게 됩니다. 치주 농양은 인근 치아에 발열과 같은 통증을 유발하고 치아와 잇몸의 뼈를 녹이거나 잇몸을 손상시켜 치아가 흔들리고 빠질수 있습니다.

잇몸 고름주머니 치료법
잇몸에 고름주머니 같이 잇몸이 부풀어 오른경우, 감염을 막기위해 치과의사는 항생제를 처방하고 염증인 농양이 배액될수 있도록 잇몸을 절개하고 소독할수 있습니다.
잇몸 고름주머니가 오래되고 심해서 농양으로 인해 뼈가 손상된경우 치근단 절재술을 하여 염증을 제거하고 뼈를 채우거나, 치아를 뽑고 치과적인 치료를 할수 있습니다.
- 치석을 제거 하기 위해 스케일링 실시
- 염증을 배농하기위해 잇몸 절개
- 심한경우 치아 발치후 치료

잇몸 염증 심해지는 이유
잇몸에 염증이 생기면 빠져나가지 못하는 고름으로 인해 잇몸이 푸불어 오르면서 고름 주머니가 생기게 됩니다. 이때 빠져나가지 못하는 염증은 주변의 살과 뼈를 녹여 아픈통증을 유발하지만 이러한 압력이 빠지게 되어 염증이 배출되면 통증은 사라져 괜찮은줄 알고 치과에 오지 않습니다.
이러기를 여러번 반복하다보면, 치아 뿌리 안으로 염증이 심각하게 고이게 되어 빠르게 치과에 오시는 분들은 신경치료를 통해 염증을 잡고 치료를 할수 있지만, 오래되어서 주변의 뼈를 다 녹여 문제가 심각한 경우 치아를 발치하게 됩니다.
대부분의 사람들은 이러한 신경치료를 통해 잇몸 염증을 치료할수 있습니다. 그러나 또다시 치아 뿌리에 염증이 생겨 잇몸에 고름주머니가 생기는 경우 재신경치료 또는 치근단절제술을 통해 잇몸을 절개후 염증 고름을 제거할수 있습니다.
염증이 광범위하거나 치근단절재술로도 염증을 잡을수 없을때 치아를 발치하게 되고 치료후 임플란트를 해야할수도 있습니다. 글쓴이가 이런경우로 현재 임플란트를 염증때문에 3개를 해넣고 현재 앞니 또한 치근단절재술로 뼈이식 까지 한후 치료를 다했지만 최근 잇몸에 다시 고름주머니가 생겨, 염증재발로 한번더 잇몸을 절개하고 치료를 할지 발치를 할지 고민중에 있습니다.
치근단절제술 비용 후기 총정리
치근단절제술을 하고온날 이와 관련된 정보를 적기위해 글을씁니다. 일반적으로 앞니쪽에 치아를 발치하지 않고 마지막 수단으로 치아 뿌리를 절제하는 수술로써 생각보다 마취가 풀리면 아픈
naverdog.com
잇몸 고름주머니 발치
치아를 발치하게 되는경우는 잇몸뿌리에 염증이 너무 심해서 다른 치아까지 피해를 주는경우 다른 치아라도 빨르게 살리기 위해 치아를 뽑고 치료를 할수 있습니다. 그러나 보통 신경치료를 통해 염증을 치료하지만 신경치료를한 치아에 또다시 고름주머니가 생기는 경우 잇몸을 절개하여 배농한후 상황을 지켜봐야 합니다.
항생제와 치료를 하고도 계속 재발하는경우 치근단절재술과 재 신경치료를 통해 치아 뿌리 및 주변 치주 농양을 잡고 주기적인 검진을 할수 있습니다. 글쓴이가 치근단절제술을 한지 1년이 되었는데 다시 잇몸 고름주머니가 생겨, 치과의사는 한번더 잇몸을 절개하고 치료를 하자고 하는데, 글쓴이는 잇몸수술이 생각보다 통증이 심해서 고민을 하고 있습니다.
이미 치근단절제술을 해서 잇몸에 염증이 생겼지만 기존 수술한 위치로 염증이 부풀어 올랐다가 스스로 배농이 되고 있는 상황입니다. 스스로 염증이 배농되기 때문에 기존처럼 빠져나갈곳이 없어 뼈를 녹이지는 않기 때문에 그냥 정기적으로 치과에서 관리를 하면서 최대한 기존 치아를 사용한후 안되면 발치하여 임플란트를 하겠다고 말했습니다.

잇몸 고름주머니 치료 비용
잇몸 고름주머니를 오래 방치하는 경우나 이것이 제대로 치료가 되지 않을경우 발생하는 비용에 대하여, 제가 경험하고 지금도 그것으로 인한 고민중인데, 발생할수 있는 비용을 알려드릴게요.
1. 1차적 치료
- 스케일링 (1년 1회 1만원 중반정도 비용)
- 신경치료 3-5회 10만원 내외
- 신경치료후 크라운비용 50-60만원
2. 2차적 재발하여 뼈를 녹인경우
- 재 신경치료비용 10만원 내외
- 치근단절제술(치아뿌리 자름) 10만원 내외
- 녹은뼈 채워넣는 뼈이식 30만원
- 다시 크라운 제작 50-60만원
3. 3차적 치근단절제술후 재발
- 한번더 잇몸절개후 염증 치료(10만원 내외)
- 실패시 치아 발치( 발치비용)
- 발치한 치아 다시 뼈이식 비용 30만원
- 임플란트 비용 120-150만원
현재 글쓴이가 이러한 과정을 거치고 현재 3차적 단계로 앞니를 제거하고 그냥 다시 뼈이식후 임플란트를 삽입을 한건지 아니면 잇몸절개 수술을 다시한번 해보고 염증을 잡을건지 고민중입니다.
이전 뼈를 녹인 염증의 범위가 너무 넓어서 치료후 몸이 제대로 재생을 하지 못하고 다시 염증이 생긴것 같습니다. 그냥 치과에서 관리하면서 최대한 사용하고 안될때 치아를 발치하는걸로 저는 치과 의사와 이야기를 했는데 과연 잘한 선택인지 모르겠습니다. 다만 저처럼 이런경우 몇년째 치과 정검을 하면서 유지하고 있는 환자들도 많다고 하니 발치가 꼭 전부는 아닌것 같습니다.
여기까지 잇몸 고름주머니 염증 치주 농양 치료법 비용에 관한 포스팅을 줄입니다. 잇몸에 고름주머니가 생기면 최대한 빠르게 치과에 방문하세요 그래야 경과가 좋습니다.
잇몸 피날때 붓고 냄새 원인
잇몸이 붓거나 피가 날 때는 화장실 구린내 같은 심각한 구취 냄새가 납니다. 왜 잇몸이 피나 가는지 그 원인에 대해서 알아보고, 어떻게 관리를 해야 하는지 알아볼게요. 인사돌, 이가탄 먹으면
naverdog.com
임플란트 잇몸 뼈이식 비용 통증
임플란트를 하거나 잇몸을 절개해서 뼈이식을 해야할때 비용이 얼마 들어가는지 궁금할 경우가 있습니다. 임플란트 삽입시 임플란트 비용 외 뼈이식을 치조골 이식이라고 하는데 별도의 비용
naverdog.com
'건강' 카테고리의 다른 글
| 자고 일어나면 손저림 손부음 현상 원인 (0) | 2023.12.14 |
|---|---|
| 췌장암 허리통증 등부위 증상 치료 (0) | 2023.12.11 |
| 블루라이트 차단 안경 효과 가격 후기 (0) | 2023.11.08 |
| 노인틀니가격 부분 전체 틀니 4가지 유형 (0) | 2023.11.02 |
| 천홍력 발효홍삼 금산고려 홍삼 효능 믿을수있나 (0) | 2023.10.08 |
| 치조골이식수술 비용 2종 수술비 보험 청구 (0) | 2023.10.05 |
| 금연 후 신체변화 기간별 상태 채크 (0) | 2023.10.02 |
이 글을 공유하기






